当“土壤”中出现了小石子:面对移植前子宫内膜钙化灶

[复制链接]
查看: 463|回复: 0

当“土壤”中出现了小石子:面对移植前子宫内膜钙化灶

[复制链接]
查看: 463|回复: 0
lotusivf

249

主题

0

回帖

939

积分

管理员

积分
939
lotusivf 2025-9-23 09:51:05 | 显示全部楼层 |阅读模式

当“土壤”中出现了小石子:面对移植前子宫内膜钙化灶

亲爱的准妈妈,当您满怀期待地走在试管移植的最后一段路上,B超报告上的“子宫内膜钙化灶”几个字,可能让您瞬间感到困惑与不安。请先深呼吸,让我们像朋友一样,慢慢理清这个问题。它并非不可逾越的鸿沟,而只是一个需要我们共同关注和处理的信号。

一、钙化灶,是什么?

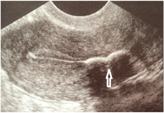
想象一下,我们为胚胎宝宝精心准备的“土壤”——子宫内膜,应该是柔软、肥沃的。而“钙化灶”,就像是这片土壤中混入的一些小小的“石子”或“沙粒”。它是子宫内膜曾经历过某些事件后,留下的微小印记。

这些印记通常来自过去:

  • 一些宫腔操作:比如人工流产、清宫手术或宫腔镜手术。器械在愈合过程中,可能留下了极微小的、如同疤痕一样的钙盐沉积。

  • 一场安静的炎症:例如慢性的子宫内膜炎,在炎症平息后,也可能留下这样的痕迹。

了解它的来源,能帮助我们明白,这并非一个正在发生的急性问题,而更多是历史留下的痕迹。

移植 内膜钙化灶

移植 内膜钙化灶

二、为什么需要重视?

您可能会想,只是一些小“石子”,会有多大影响呢?我们可以从胚胎宝宝的角度来感受:

  1. 安居的挑战:一颗小小的种子,需要与温暖湿润的土壤紧密贴合才能生根。如果土壤中有坚硬的石子,胚胎就很难找到最舒适的位置“安家落户”。

  2. 营养的阻隔:这些钙化点可能会像一把小伞,遮挡住下方肥沃的土壤,影响胚胎从子宫内膜获取充足的营养和血液供应。

所以,医生的谨慎是完全必要的。我们的目标,是尽最大努力,为宝宝创造一片完美无瑕的“沃土”。

三、我们如何清除钙化灶,优化“土壤”?

幸运的是,我们拥有非常精准有效的工具来应对这个挑战。医生通常会建议我们迈出关键的一步:宫腔镜检查。

这听起来像是个手术,但您可以把它想象成一次宫腔的“深度清洁与修复之旅”。

  • 它是一双“眼睛”:医生会通过一根极细的软管,轻柔地进入宫腔,直接、清晰地看到内部的全景,准确找到每一颗“小石子”的位置。

  • 它是一双“巧手”:在直视下,医生可以使用精密的微型器械,像一位细致的园丁,精准地剔除这些钙化点,同时不伤及周围健康的“土壤”。

这次“修复之旅”之后,宫腔通常会需要一两个月经周期的休息和恢复。之后,我们再通过药物精心准备内膜,待这片“土壤”变得厚实、均匀时,便是迎接冷冻胚胎回家的最佳时机。

四、排除障碍,稳步前行

发现钙化灶,意味着我们的移植计划需要稍作调整,但这绝不是终点。它恰恰体现了生殖医学的严谨与负责——不放弃任何一个可能影响成功的细节。请将这次发现视为一个优化内在环境的宝贵机会。与您的医生充分沟通,信任专业的方案。暂时停下脚步,是为了更稳健地走向终点。耐心地清除掉所有障碍,为宝宝铺平道路之后,那份期待已久的喜悦,终将如期而至。

推荐阅读:试管促排前发现卵巢囊肿如何处理

您需要登录后才可以回帖 登录 | 立即注册

本版积分规则

Archiver|手机版|小黑屋|玉麒麟 |

GMT+8, 2026-4-17 11:06 , Processed in 0.055183 second(s), 25 queries .

Powered by Discuz! X3.5

© 2001-2026 Discuz! Team.